5.0 Google Rating Trusted by patients across Altrincham

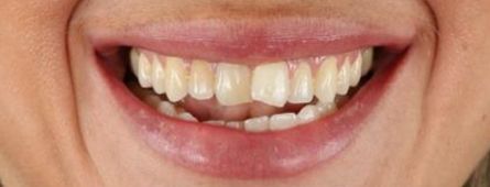
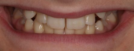
Straight Teeth. Planned by a Specialist Team.

Barrington Dental Care offers clear aligners powered by 32Co. Where your treatment is designed with an orthodontist on every case.

Refer a Patient
Discreet. Predictable. Expert-led.

See Your Future Smile Before You Start

We use advanced smile simulation technology to show you:

  • Before-and-after visual previews
  • Alignment scoring
  • Staining assessment
  • Smile improvement potential

You can even upload your smile online to receive an initial preview.

Patients who express interest appear directly on our dashboard, allowing us to guide you through the next steps quickly and efficiently.

 

.cls-1 { fill: none; stroke-linecap: round; stroke-linejoin: round; }

Orthodontist-Led Planning

Every case is designed with specialist oversight for safer, more predictable results.

.cls-1 { fill: #1d1d1b; }

More Predictable Timelines

Fewer refinements and clearer planning mean treatment stays on track.

.cls-1 { fill: none; stroke-linecap: round; stroke-linejoin: round; }

Discreet & Comfortable

Nearly invisible aligners designed to fit seamlessly into daily life.

Specialist-Level Planning. Everyday Convenience.

Unlike many clear aligner systems, 32Co ensures that every treatment plan is reviewed and designed with orthodontic expertise built in.

That means your smile isn’t just moved, it’s strategically planned.

You benefit from:

  • Your trusted dentist
  • An experienced orthodontic planning team
  • Advanced digital treatment mapping
  • Predictable, evidence-led outcomes

This is modern orthodontics, without the compromises.

 

Your Clear Aligner Journey Made Simple

Consultation & Smile Scan

We assess your teeth, bite and goals. Using advanced 3D digital scanning, we map your current smile.

You can also preview your potential result using our digital simulation technology.

Clear Pricing with Flexible Payment Options.

Flexible Payment Options

Your personalised quote will depend on your case complexity, length of treatment and number of aligners required. Every case is different, but most 32Co clear aligner treatments range from:

from £2,495

Flexible Payment Options
Benefit Details
Full consultation & digital scan Included
Orthodontist-integrated treatment planning Included
Custom aligner series Included
All review appointments Included
Refinements (if clinically required) Included
Retainers at completion Included

Ready to Book Your Appointment?

Speak with our team, send an enquiry, or visit us at the practice.

Request a consultation

Complete the form below and a member of our team will be in contact to discuss your next steps.

Contact Information

  • Address Barrington Dental Care 23a Barrington Road, Altrincham, Cheshire, WA14 1HP
  • Phone 0161 928 0014
  • Email info@barringtondental.co.uk
  • Opening Hours
    Monday:09:00 AM – 17:10 PM
    Tuesday: 09:00 AM – 19:20 PM
    Wednesday:09:00 AM – 17:10 PM
    Thursday:07:00 AM – 15:20 PM
    Friday:08:00 AM – 14:20 PM
    Weekends:Closed
Call Now WhatsApp Book Now